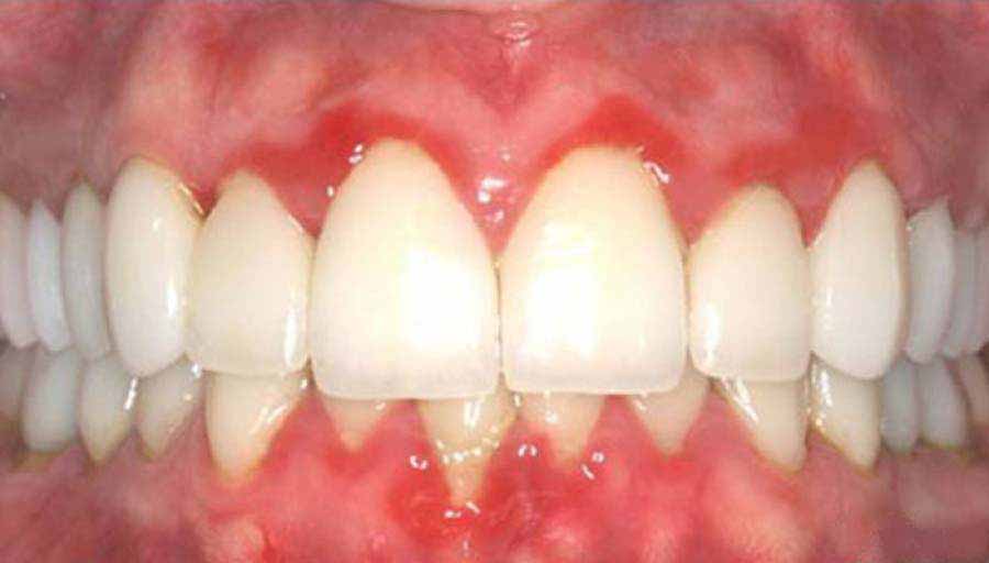
Las mujeres que en la menopausia sufren una infección gingival crónica, tienen un 14% más chances de desarrollar cáncer, especialmente de esófago.
La investigación se llevó a cabo entre 1999 y 2013 e involucró a 65 mil mujeres.
Los investigadores, cuyo trabajo fue publicado en la revista médica “Cancer Epidemiology, Biomarkers and Prevention”, también constataron que esas mujeres tenían un riesgo significativamente mayor de padecer cáncer de pulmón, mama, vesícula biliar y melanoma, un tumor agresivo de piel.
El estudio fue realizado entre 1999 y 2013, con más de 65 mujeres de edad entre 54 y 86 años, que respondieron un cuestionario sobre su salud durante un período promedio de control de 8 años.
Estudios anteriores habían sugerido que las personas que padecen enfermedad periodontal eran más propensas a desarrollar ciertos tipos de cáncer.
Pero este estudio es el primero en concentrarse específicamente sobre esta infección crónica de las encías para todos los tipos de cáncer en una población de mujeres mayores, expresó Jean Wactawski-Wende, principal autor del estudio e investigador de la Facultad de Salud Pública de la Universidad del Estado de Nueva York, en Búfalo.
En tanto, más estudios serán necesarios para determinar exactamente cómo la enfermedad periodontal puede provocar cáncer, dijo el científico.
Según una hipótesis, las bacterias de la placa bacteriana o la saliva podrían acabar ingresando en la corriente sanguínea.
El mayor riesgo de cáncer de esófago podría explicarse por su proximidad con la boca, afirmó Wactawski-Wende.
La enfermedad periodontal afecta al diente y destruye los tejidos de apoyo, encía y hueso. Esta patología es bastante lenta y evoluciona a lo largo de varias décadas.
Fuente: Folha de Sao Paulo – Brasil

